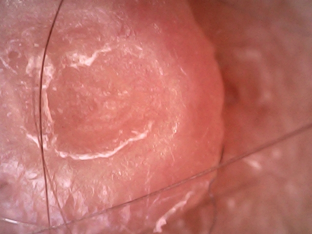
Контагиозный моллюск – вирусное заболевание. Проявляется появлением узелков на коже. Узелки могут сидеть продолжительное время, иногда по 2-3 года прежде, чем иммунная система справится с вирусом и запустит разрушение узелков.





Как понять, что вирус начал сдаваться? Мы увидим, что узелок начал изъязвляться и начал выглядеть как ранка. Для полного исчезновения ранки требуется непродолжительное время, как для обычной неглубокой раны.










